PEDIATRIC/KIDS DENTISTRY

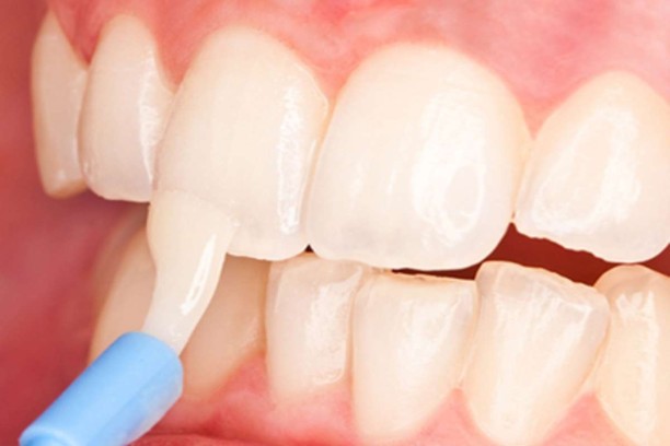
Pit and fissure sealant
Protective coating on teeth to prevent cavities.

Application of fluoride varnish
Strengthens enamel and prevents tooth decay.

Extractions and space maintainers
Safe tooth removal and preservation of space for permanent teeth.

Habit breaking appliance
Devices to stop thumb sucking and other oral habits.

Growth modification appliances
Guides proper jaw and facial development.

Pulp therapy and crown
Restores infected baby teeth and protects them with crowns.